Navigation überspringen Sitemap anzeigen

Kernspintomo­graphie (MRT) in unseren radiologischen Praxen in Ingolstadt, Manching, Eichstätt, Weißenburg, Roth und Gunzenhausen

Die Kernspintomographie beziehungsweise Magnetresonanztomographie (MRT) ist eine moderne Untersuchungsmethode, die wir Ihnen in unseren Praxen in Ingolstadt, Manching, Eichstätt, Weißenburg, Roth und Gunzenhausen anbieten. 

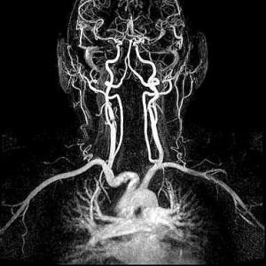
Die Kernspintomographie liefert detailgenaue Schnittbildaufnahmen des menschlichen Körpers ohne Röntgenstrahlen – und das sogar von Blutgefäßen. Bei der MRT werden Sie in einem starken Magnetfeld untersucht. Ähnlich wie bei einem Radio werden UKW-Wellen verwendet. Um dünne Schichtaufnahmen zu erzeugen, benötigen wir zusätzlich schwach wechselnde Magnetfelder, wodurch ein lautes Klopfgeräusch entsteht. Die Signale werden dann von einem sehr leistungsfähigen Computersystem zu Schichtaufnahmen in verschiedenen Ebenen umgewandelt. Die Untersuchung dauert je nach Fragestellung 7 bis 35 Minuten. Während der Messzeit sollten Sie ruhig und entspannt liegen, denn jede Bewegung verursacht Bildstörungen und verlängert die Prozedur.

Im Einzelfall entschieden werden muss bei ...

  • Schwangeren
  • Im Körper vorhandenen Metallfremdkörpern oder Clips nach Operationen
  • Gehörknöchel-Ersatz

Unsere Fachärzte in Ingolstadt, Manching, Eichstätt, Weißenburg, Roth und Gunzenhausen beraten Sie gerne persönlich und fachkundig. Sie erfahren von uns, was Sie vor und während der Kernspintomographie beachten müssen und welche Begleiterscheinungen möglich sind. Auch bei Fragen zu Folgeuntersuchungen und zur Nachsorge stehen wir Ihnen mit großer Fachkompetenz zur Verfügung.

Wann ist eine Kernspintomographie (MRT) nicht möglich?

Eine MRT können wir nur nach besonderer Rücksprache durchführen bei Patienten mit speziellen Herzschrittmachern und intrakorporalen Defibrillatoren!

  • Wegen des starken Magnetfelds ist die Untersuchung für diese Personengruppe nur bei speziellen Geräten überhaupt möglich. 

Eine MRT können wir nicht durchführen bei Patienten mit Herzschrittmachern.

  • Wegen des starken Magnetfelds ist die Untersuchung für diese Personengruppe ungeeignet.
Zum Seitenanfang
Online-Rezeption: aktivieren

Anbieter: Docmedico GmbH

Datenschutzerklärung